What we Offer

Our Services

img

LUMINEERS® BY CERINATE® are porcelain veneers that offer the painless way to a permanently whiter and perfectly aligned smile. Dr. Nguyen and Dr. Luong can apply these contact lens-thin “smile shapers” to teeth without any grinding or shaving, transforming teeth into a naturally beautiful smile that looks perfect for every individual. LUMINEERS can even be placed over existing crown or bridgework without having to replace them.

img

The clear alternative to braces.

Invisalign uses a series of clear aligners that are custom-molded to fit you. The virtually invisible aligners gradually reposition your teeth into a smile you'll be proud of.

  • Remove your aligners to eat, brush and floss
  • Change aligners every two weeks
  • Your teeth move little by little
  • Regular progress checks with your dentist or orthodontist
  • Results often in 6 months to 1 year

img

Replace missing teeth with dental implants for a healthier smile. An implant is a titanium cylinder put into the jaw bone where a tooth has been removed or is missing. This cylinder is then used to support a new crown or denture.

img

When the size of a filling exceeds a certain proportion of the tooth, it must be replaced with a “cap,” also called a “crown.”

Porcelain crowns look very natural and do not have a dark metal line like traditional crowns. Porcelain crowns even reflect light with a natural, healthy glow.

img

Let Drs. Nguyen and Luong whiten your teeth to give you a more beautiful smile. As a part of aging, your teeth will yellow with time. However, in as little as half an hour in our office, you can reverse this process to attain whiter, younger-looking teeth.

img

Now you can enjoy the same effects of in-office whitening in the comfort of your own home. Use our self-bleaching kit for as little as two weeks to achieve a younger-looking smile.

img

Missing teeth can be replaced by several means, the simplest method being bridgework. This method uses the teeth on either side of the gap to support a false tooth.

Another alternative is to use implants. These are made from titanium and require surgery for to be placed into the jaw bone. When the implants have healed into place, a crown can be cemented on to them.

img

Replace your old, blackened mercury fillings with new, safer tooth-colored replacements. These advanced materials will make your mouth look and feel more natural.

img

Inlays are very strong fillings made to replace silver fillings or repair broken teeth.

Onlays are similar to caps or crowns but require considerably less trimming of the tooth. The onlay usually covers the entire biting surface of a tooth.

Previously, onlays were only fabricated in gold. However, the advent of newer, stronger porcelain makes it possible for onlays to be very aesthetic.

Over time, inlays and onlays do not accumulate stains.

img

Painlessly repair broken, stained or crooked teeth with a natural enamel replacement.

Veneers are often used for “instant” orthodontics. Repairing teeth due to injury or wear - even slight straightening - is quick, painless, and affordable with today’s natural and long lasting materials.

img

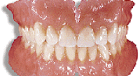
If you have lost most or all of your teeth, you are a perfect candidate for complete dentures.

Dentures are a partial or complete set of artificial teeth used to occupy the upper or lower jaw, usually attached to a plate. Simply put, dentures are a set of false teeth.

If you still have some natural teeth remaining, a partial denture is recommended to help improve chewing ability, speech, and support for facial muscles.

Our promise

img

 

We pride ourselves on our highly trained, friendly and experienced dental staff, and on the long-term relationships we develop with our patients.

We will provide personalized dental care and ensure healthy bright smiles of a lifetime. Our team strives to provide you and your family with the highest quality dental care.

Why Choose Us

img
img
img

Qualified Doctors

Dr. Nguyen and Dr. Luong stay up-to-date with advancements in dentistry by attending continuing education courses and are members of the American Dental Association, the Virginia Dental Association, and the Northern Virginia Dental Society.

No-Interest Financing

For our patients with no insurance, we provide No-Interest Financing with Lending Club offering flexible, low payments with a minimum required payment of only 3% of your balance each month.

Flexible Hours

Evening and Weekend appointments are available to accommodate your busy life-style. Same-day care for dental emergencies is also provided.

What we offer

Patient Comfort

To ensure your comfort during your appointments, along with state of the art technology, Pan Am Dental is pleased to offer a veriety of services to aid in relaxation during your visit.

Digital X-Rays

Our office is equipped with digital radiography, a modern technique in taking x-rays. It reduces the amount of radiation a patient is exposed to by as much as 90%

Intraoral Camera

Our intraoral camera system allows our patients to view high-resolution images of their teeth before and after dental work. Our patients are able to see and understand exactly what the dentist is planning for their treatment during their examination.

Sterilization Center

In our state-of-the art sterilization center, all of our instruments are thoroughly cleaned in an ultrasonic cleaner and sterilized in our high pressure steam autoclaves. We abide by all Occupational Safety and Health Administration (OSHA) regulations.

Foreign Languages

Our friendly staff speak English, Spanish, and Vietnamese. Please do not hesitate to call our office if you have any questions.

Emergency Care

We provide same-day care for dental emergencies.